Взрослая ортодонтия
Зубы можно двигать — и это основной принцип ортодонтического лечения. Некорректный прикус, широкие межзубные промежутки или, наоборот, слишком тесное расположение — все эти проблемы поддаются исправлению. Опытные ортодонты Улыбнись! разрабатывают индивидуальные планы, позволяющие в буквальном смысле «сдвинуть» зубы в нужное положение.
Что такое взрослая ортодонтия?
Ортодонтическому лечению покорны все возрасты. И хотя врачи подчеркивают, что оптимальный возраст — 3-5 лет, когда начинается первый осмотр у ортодонта, некоторые наши пациенты начинают “бить тревогу” только во взрослом возрасте.
В отличие от детей и подростков, взрослые пациенты приходят к нам уже с более серьезными проблемами, связанными с длительным неправильным расположением зубов, потерей или отсутствием некоторых зубов, а также с изменениями костной ткани.
Поскольку костная ткань у взрослых менее пластична, чем у детей, лечение требует больше времени и контроля. Однако современные технологии и материалы позволяют успешно решать эти задачи вне зависимости от возраста. Сегодня взрослая ортодонтия — это неотъемлемая часть современного эстетического и стоматологического лечения.
Когда взрослому нужно к ортодонту
Чем грозит неправильный прикус
Неправильный прикус — это не только несоответствие эстетике, но и источник множества физиологических проблем, которые со временем могут привести к значительным осложнениям. Поэтому при первых симптомах необходима консультация ортодонта — для оценки ситуации и назначения своевременного ортодонтического лечения зубов. В противном случае последствия не заставят себя долго ждать, к ним относятся:
- повреждение зубов и тканей полости рта;
- нарушения работы (ВНЧС);
- нарушения жевательной функции и пищеварения;
- эстетические и психологические последствия;
- нарушения речи и дыхания.
Виды ортодонтического лечения зубов
Этапы лечения у взрослых
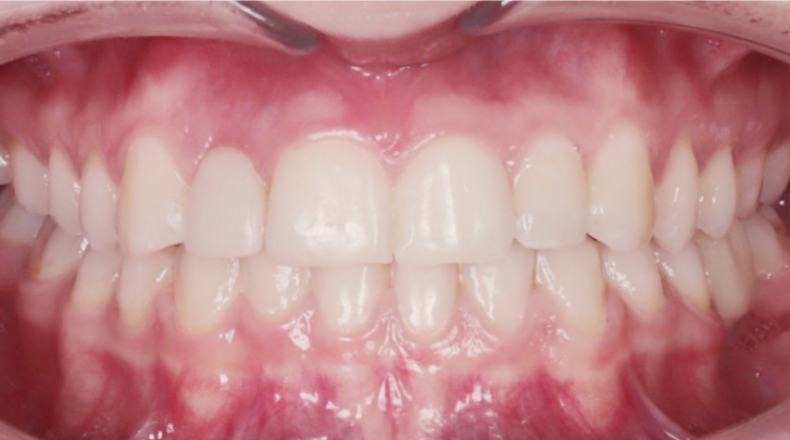
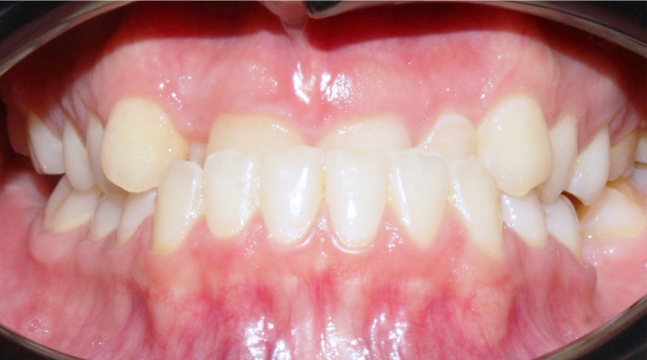
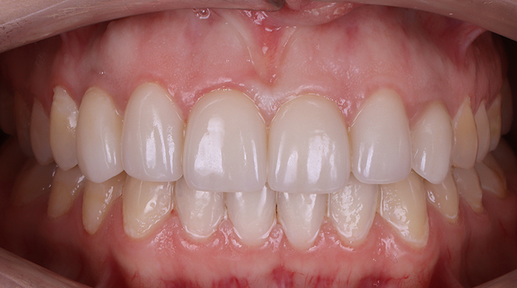
Улыбки наших пациентов
Цены на взрослую ортодонтию
- cнятие альгинатного оттиска с челюстей, сканирование, определение прикуса, изготовление контрольной модели при ортодонтическом лечении, антропометрические исследования, анализ ТРГ, фотографирование, составление плана лечения.
Главный врач Центра, врач-ортодонт, ведущий специалист
врач-ортодонт, ведущий специалист
26 лет стажа
врач-ортодонт, врач высшей категории
8 лет стажа
врач-ортодонт
8 лет стажа
врач-ортодонт, ведущий специалист
12 лет стажа
врач-ортодонт
5 лет стажа
врач-ортодонт, врач высшей категории
24 года стажа
врач ортодонт
3 года стажа
ул. Блюхера, д. 30, 630073
Перерыв 14:00—15:00
понедельник и четверг с 12:00—14:00, по предварительной записи






