Свих Надежда Александровна
Свих Надежда Александровна
врач-ортодонт, врач высшей категории
9 лет стажа
Специализации
Сложная ортодонтия
Ортодонтия для детей и подростков
Миофункциональный подход
Принимаемые пациенты
Взрослые
Дети
Подростки
От улыбки хмурый день светлей,
От улыбки в небе радуга проснётся...
Поделись улыбкою своей,
И она к тебе не раз ещё вернётся.
А вы согласны с детской песенкой? Лично я – да. Именно поэтому выбрала профессию ортодонта. Наша команда готова дарить каждому пациенту здоровую и красивую улыбку. Делая свою работу, мы получаем позитивные эмоции и безграничное желание работать.
От улыбки в небе радуга проснётся...
Поделись улыбкою своей,
И она к тебе не раз ещё вернётся.
А вы согласны с детской песенкой? Лично я – да. Именно поэтому выбрала профессию ортодонта. Наша команда готова дарить каждому пациенту здоровую и красивую улыбку. Делая свою работу, мы получаем позитивные эмоции и безграничное желание работать.
Образование
Квалификация:
врач-ортодонт
Сертификат до:
25.06.2029 г.
В связи с напряженной эпидемиологической обстановкой, мы всецело поддерживаем усиленные меры безопасности. В связи с чем в апреле 2020 года прошла сертификационный курс Министерства здравоохранения РФ «Диагностика, лечение, профилактика новой коронавирусной инфекции (COVID-19) в первичной медико-санитарной помощи».
2012-2017 г.
Обучение в Новосибирском Государственном Медицинском Университете, стоматологический факультет
2017-2019 г.
Клиническая ординатура при Новосибирском Государственном Медицинском Университете по специальности «Ортодонтия»
Обучение новым технологиям
2017 г.
Семинар «Практическое применение метода КЛКТ для диагностики заболеваний височно-нижнечелюстного сустава» Т.Олейник, г. Новосибирск
2017 г.
Семинар «Damon - биомеханика, трюки Damon, выбор торка + расчет торка» М. Морозов, г. Кемерово
2017 г.
Семинар «Подробный курс по диагностике и особенностям клинического ведения пациентов с дисфункцией ВНЧС» С.Блум, г. Новосибирск
2018 г.
“Ортодонтическое закрытие промежутков, основанное на биомехинике и эстетике. Лечение без удаления, основанное на биомеханике и этетике.” Р.Нанда, г. Москва
2018 г.
Лекционный курс «Миофункциональный подход к лечению нарушений прикуса и аномалий челюстно-лицевого развития по системе Myobrace» А. Мельникова, г. Новосибирск
2018 г.
Семинар «Коррекция аномалий окклюзии в вертикальной плоскости у взрослых техникой Straight-wire» М.Морозов, г. Кемерово
2018 г.
Семинар «Рост лица. Скелетные и зубоальвеолярные формы аномалий. Дифференциальная диагностика. Особенности лечения зубочелюстных аномалий в различные возрастные периоды» Р.Фадеев, г. Новосибирск
2018 г.
Семинар «Ретинированные клыки. Провокаторы ретенции. Лечение патологии второго класса. Взгляд снаружи и изнутри» Л.Хорольская, г. Кемерово
2018 г.
Семинар «Эvolution: 8 колючей эстетической и функциональной ортодонтии» А.Ермаков, г. Новосибирск
2018 г.
Типодонт-курс «Общие принципы применения несъёмной ортодонтической техники. Этапы лечения» Д.Шакирова, г. Новосибирск
2019 г.
“Диагностика, клиника и лечение дистальной окклюзии”. С.Попов, г. Санкт – Петербург
2019 г.
“Психологическое взаимодействие при оказании стоматологических услуг. Конфликт с пациентом. Стратегии поведения в конфликте”. А.Евдокименко, г. Новосибирск
2019 г.
“Дентальная фотография, как одна из основ профессионального роста успешного менеджмента” У.Антошкиев, г.Новосибирск
2019 г.
«Диагностика и торки. Ошибки и осложнения при лечении аномалии окклюзии.Методы и способы их исправления. С.Попов, г.Новосибириск
2020 г.
Благодарный пациент - Успешный доктор” А.Бичун, г.Новосибирск
2020 г.
“Минивинты в ортодонтии. Сплав металла и интеллекта. А.Тихонов, г.Новосибирск
2020 г.
Тренинг “Время силы”, г.Новосибирск
2020 г.
Участие в программе наставничества «Invisalign» г.Новосибирск
2021 г.
«Ортодонт и ортогнатический хирург. Готовим пациента к операции» г.Новосибирск «Дентмастер»
2021 г.
Участник конференции ортоскептиков г.Москва, Нуртдинов, Ахмедханов, Кулаев,Литвинцев, Орлов, Ковалевский, Зернов, Морозов
2021 г.
Конгресс Гнатологии, г.Москва, Сойхер,Гетте,Ордовский-Таннаевский,Маланьин, Ремнев,Юдин
2021 г.
«Применение концепции GNM в реабилитации пациентов с проблемами окклюзии» г. Новосибирск, А.Криворотов
2021 г.
«Здоровый сустав», г.Новомибирск, Юдин Д.К, Гетте С.А.
2021 г.
«Краниофасциальный рост, почему не вылечить без хирургии. Особенности подготовки к хирургии в разных классах.» Ж. Ленденгольц, А.Лисицына, г.Новосибисрк
2022 г.
«Ортогнатическая хирургия 2.0» г. Новосибирск, Дудкин В.С.
2022 г.
«Продвинутый курс по гнатологии» г.Новосибирск, Юдин,Гетте
2022 г.
Наставничество МФЛ «Ортошкола Анастасии Серовой»
2022 г.
«Ортоклуб» г.Новосибирск, Ормко
2023 г.
«Ортоклуб» г.Новосибирск, Ормко
2023 г.
«Продвинутый курс по МФЛ», Ортошкола А.Серовой
2024 г.
«От прикуса до стопы», г. Новосибирск, Васильева М.Б
2024 г.
«II Сибирский ортодонтический конгресс», г. Новосибирск, ДентМастер
2025 г.
«Elastodontic therapy innovative approach in functional irthodontics», Filippo Cardarelli, Stambul
Профессиональные навыки
Миофункциональный подход в лечении детей и подростков
Комплексный подход в лечении ЗЧА (съемная, несъемная аппаратура), совместная работа со смежными специалистами
Эстетическое лечение на элайнерах
Подготовка к ортогнатической хирургии
Ортодонтическая подготовка к имплантации и протезированию
Диагностика и комплексное лечение дисфункции ВНЧС
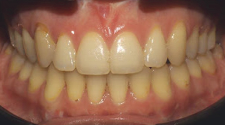
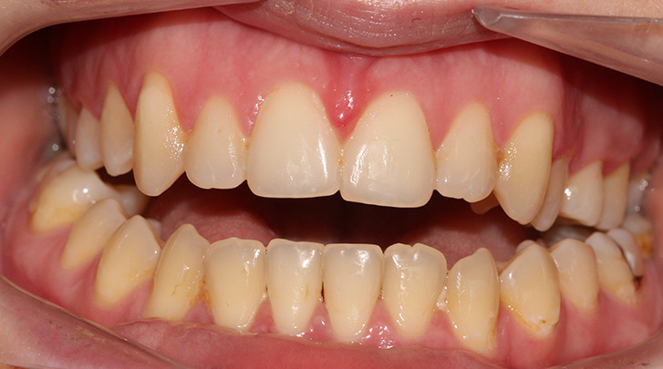
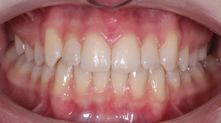
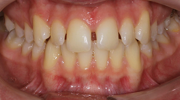
Улыбки пациентов
Стоимость услуг врача в ЦО Улыбнись!
Врач является врачом высшей категории и принимает по повышенному прайсу. Подробнее о категориях врачей в Улыбнись!
КОНСУЛЬТАЦИЯ ОРТОДОНТА
Консультация врача-ортодонта первичная для детей, подростков, взрослых
от 1 100 руб.
Консультация врача-ортодонта повторная на этапе лечения
бесплатно
ДИАГНОСТИКА
Полная диагностика до ортодонтического лечения
от 9 800 руб.
Стоимость включает:
- cнятие альгинатного оттиска с челюстей, сканирование, определение прикуса, изготовление контрольной модели при ортодонтическом лечении, антропометрические исследования, анализ ТРГ, фотографирование, составление плана лечения.
Функциональная диагностика с использованием артикулятора
от 20 700 руб.
Стоимость включает:
- определение вида смыкания зубных рядов с помощью лицевой дуги, снятие альгинатного оттиска с одной челюсти, сканирование, определение прикуса, изготовление контрольной модели при ортодонтическом лечении, антропометрические исследования, гипсовка в артукулятор, фотографирование.
Миостимуляционная терапия ТЕНС (1 процедура)
от 16 100 руб.
ЛЕЧЕНИЕ С ИСПОЛЬЗОВАНИЕМ БРЕКЕТОВ
Лечение с использованием брекетов металлических Mini Diamond, Biomim
от 149 000 руб.
Стоимость включает:
- брекеты Mini Diamond, Biomim на одну челюсть, их фиксация, ежемесячные посещения по активации аппаратуры, снятие брекетов, ретенционные (удерживающие) аппараты.
Система оплаты:
100 000 рублей – первоначальный взнос. Оставшаяся сумма разбивается на равные ежемесячные взносы, относительно составленной сметы на исправление прикуса металлическими брекетами на 18 месяцев (ежемесячный взнос в среднем 11 100 рублей).
Лечение с использованием брекетов самолигирующих Damon Q, H4, Pitts21
от 169 000 руб.
Стоимость включает:
- брекеты Damon Q, H4, Pitts21 на одну челюсть, установка брекетов, ежемесячные посещения по активации аппаратуры, снятие брекетов, ретенционные (удерживающие) аппараты.
Система оплаты:
100 000 рублей – первоначальный взнос. Оставшаяся сумма разбивается на равные ежемесячные взносы, относительно составленной сметы выравнивания зубов брекетами на 18 месяцев (ежемесячный взнос в среднем 11 100 рублей).
Лечение с использованием керамических брекетов самолигирующих Damon Clear
от 218 000 руб.
Стоимость включает:
- брекеты Damon Clear на нижнюю или верхнюю челюсть, установка брекетов, ежемесячные посещения по активации аппаратуры, снятие брекетов, ретенционные (удерживающие) аппараты.
Система оплаты:
120 000 рублей – первоначальный взнос. Оставшаяся стоимость установки брекетов разбивается на равные ежемесячные взносы, относительно составленной сметы на лечение на 18 месяцев (ежемесячный взнос в среднем 10 000 рублей).
ЛЕЧЕНИЕ С ИСПОЛЬЗОВАНИЕМ СЪЕМНЫХ ПРОЗРАЧНЫХ КАП
С применением элайнеров "FlexLigner" на 1 челюсти
от 305 900 руб.
Стоимость включает:
- виртуальный сетап, капы на весь период лечения, удерживающие аппараты после окончания лечения.
С применением элайнеров "Dental Align", цена за одно изделие
от 8 500 руб.
Стоимость включает:
- Цена за одно изделие - элайнеры для выравнивания зубов "Dental Align". Стоимость всего лечения на элайнерах зависит от индивидуальных параметров и количества кап, которое будет необходимо применить.
ЛЕЧЕНИЕ С ИСПОЛЬЗОВАНИЕМ ОРТОДОНТИЧЕСКИХ ПЛАСТИНОК
Коррекция съемным ортодонтическим аппаратом - пластинка заместительная
от 14 700 руб.
Стоимость включает:
- пластинка, планирование ее конструкции, изготовление, сдача и обучение ношения. Стоимость активации пластинки 1000 рублей.
Ортодонтическая пластинка
от 12 600 руб.
Стоимость включает:
- пластинка, планирование ее конструкции, изготовление, сдача и обучение ношения. Стоимость активации пластинки 1000 рублей.
ЛЕЧЕНИЕ С ИСПОЛЬЗОВАНИЕМ ДРУГИХ АППАРАТОВ
Коррекция несъемным ортодонтическим аппаратом HAAS
от 36 800 руб.
Коррекция съемным ортодонтическим аппаратом Дерихсвайлера
от 34 000 руб.
МИОФУНКЦИОНАЛЬНАЯ КОРРЕКЦИЯ
Диагностика первичная при миофункциональном лечении
от 10 400 руб.
Стоимость включает:
- Антропометрические исследования, снятие альгинатного оттиска с одной челюсти, изготовление контрольной модели, составление плана лечения
Миофункциональное ортодонтическое лечение
от 117 000 руб.






