Даниленко Дарина Валерьевна
Даниленко Дарина Валерьевна
врач-ортодонт, ведущий специалист
13 лет стажа
Специализации
Эстетическая ортодонтия
Сложная ортодонтия
ВНЧС, гнатология
Принимаемые пациенты
Взрослые
Дети
Подростки
Моя специальность «Ортодонтия» - для меня не просто работа, а дело, которое позволило совместить мой творческий потенциал и желание помогать людям. Оглядываясь на свой опыт работы, я точно могу сказать, что ортодонтия – это настоящее искусство, которое сегодня представляет собой некую совокупность медицины, цифровых технологий и творчества. А моей главной мотивацией для дальнейшей работы являются счастливые глаза и шикарные улыбки моих пациентов.
Образование
Квалификация:
врач-ортодонт
Сертификат до:
25.02.2030
2008-2013 г.
Обучение в Новосибирском Государственном Медицинском Университете, стоматологический факультет
2013-2015 г.
Клиническая ординатура на кафедре детской стоматологии и ортодонтии Новосибирского Государственного Медицинского Университета
2020 г.
Повышение квалификации по специальности «Ортодонтия»
Обучение новым технологиям
2013 г.
«Современные ортодонтические дуги – понимание свойств и грамотное применение в работе. Основные практические манипуляции с дугами в процессе лечения», А.В. Тихонов, Новосибирск
2013 г.
lV Российская научно-практическая конкурс-конференция студентов и молодых врачей «Авиценна-2013», Новосибирск
2013 г.
«Миофункциональный ортодонтический семинар», Крис Фарелл, Новосибирск
2013 г.
Интернациональная конференция «Ортофациальная хирургия и ортодонтия», Москва
2013 г.
«Диагностика и планирование ортодонтического лечения: от ТРГ к программному обеспечению», Блум С.А., Новосибирск
2014 г.
«Damon system: секреты успешной практики», Димитрис Мавреас, Москва
2014 г.
«Ретенционный период ортодонтического лечения: от выбора ретенционного аппарата до коррекции рецидива», Блум С.А., Новосибирск
2014 г.
«Чужие пациенты», Проценко Д.В., Новосибирск
2014 г.
«Вопросы применения в ортодонтической практике Damon System» Гарсия Эспехо, Андрей Тихонов, Санкт-Петербург
2014 г.
«XVI Съезд ортодонтов России», Санкт-Петербург
2015 г.
Международный форум «Менеджмент здравоохранения в XXl веке: организация, право, экономика, образование», Новосибирск
2015 г.
«Влияние окклюзии на стабильность ортодонтического лечения», Зубрилин Е.В., Новосибирск
2015 г.
«Применение аппаратов миофункциональной коррекции MRC в стоматологической практике», Нильс Халсинк, Новосибирск
2015 г.
«Компромиссное ортодонтическое лечение», Блум С.А., Новосибирск
2015 г.
«Сертификационный курс WIN», Дирк Вихманн, онлайн
2016 г.
«ТОП-10: Осваиваем систему Damon», Бадер Борган, Новосибирск
2016 г.
«Введение в философию FACE. Ортодонтия и функциональная окклюзия», Доминго Мартин, Новосибирск
2017 г.
«Подробный курс по диагностике и особенностям клинического ведения пациентов с дисфункцией ВНЧС», Блум С.А., Новосибирск
2017 г.
Ортодонтическая конференция «Скелетные аномалии прикуса: понятие, причины, лечение. Лечение мезиальной окклюзии. Комбинированное лечение. Компромисс или операция. Перекрестный прикус. Хирургическое расширение верхней и нижней челюстей. Этапы проведения. Основные принципы подготовки пациентов к ортогнатической операции», Новосибирск
2017 г.
«Определение центрального соотношения челюстей у пациентов с дисфункцией височно-нижнечелюстного сустава», Асия Лисицына, Новосибирск
2017 г.
«Протокол снятия брекет-системы, технические нюансы и лайфхаки», Блум С.А., онлайн
2017 г.
«Протокол гнатологической окклюзионной реабилитации с помощью материала Sonic Fill; формирование несъемного сплинта шаг за шагом», Блум С.А., онлайн
2017 г.
«Temporomandibular Disorders and Occlusion from function to esthetics», Ilia Roussou, Санкт-Петербург
2018 г.
«Эvolution. 8 ключей ортодонтического лечения», Ермаков А.С., Москва
2018 г.
«Окклюзия. Дисфункция ВНЧС. Орофациальная боль. Факты и вымыслы. Что должен знать каждый стоматолог?» Prof. Jeffrey Okeson, Минск, Беларусь
2018 г.
«Коррекция открытого прикуса. Техника многопетлевой дуги (MEAW)», Ермаков А.С., Новосибирск
2018 г.
«Эvolution. 8 ключей ортодонтического лечения», Ермаков А.С., Новосибирск
2019 г.
«Третья международная конференция по орто-фациальной хирургии и ортодонтии», Москва
2019 г.
«Дискуссия по вопросам функциональной окклюзии», Блум С.А., Ронкин К.З., онлайн
2019 г.
«Дентальная фотография, как одна из основ профессионального роста и успешного менеджмента», Антошкиев У.А., Новосибирск
2019 г.
«Психологическое взаимодействие при оказании стоматологических услуг. Стратегии поведения в конфликте», Евдокименко А.И., Новосибирск
2019 г.
«Дистальная окклюзия. Коррекция с помощью MEAW» авторский курс Анны Невдах, Новосибирск
2021 г.
«Применение концепции GNM в реабилитации пациентов с проблемами окклюзии», Антон Криворотов, Новосибирск
2021 г.
«Холистический подход к лечению патологий прикуса» ll Сибирский ортодонтический конгресс, Новосибирск
2021 г.
«Секреты успеха при работе на элайнерах», А.Струянский, онлайн
2021 г.
«Вертикальный подход к планированию и коррекции сагиттальных аномалий», А.С.Ермаков
2022 г.
«Флексы как прогрессивный метод лечения в современной ортодонтии» сертификационный курс, Бажанова О.В.
2022 г.
«Функциональный подход в лечении класса II и асимметрий» И.Д. Макаревич, Э.А.Макаревич
2022 г.
«Миофункциональный подход в лечении пациентов» В.Геча
2023 г.
«Новая ступень в работе с элайн-системой», Е.Л. Иванова
2023 г.
«Современная кортикальная опора», Р.А.Реутский
2023 г.
«Игра в слепую?! ВНЧС» Е.П.Волошина
2023 г.
«Решение главных задач: улыбка, I-й класс, стабильность» А.В.Тихонов
2024 г.
«Ортодонтия на стыке концепций», Алиса Фазлиева и Азат Фазлиев
2024 г.
«Сплинт-терапия», Элина Макаревич и Иван Макаревич
2024 г.
«Планирование и лечение аномалий дистальной окклюзии», Жанна Ленденгольц
2024 г.
«III Сибирский ортодонтический конгресс ОРТОПОРТ», г. Новосибирск, Дентмастер
2024 г.
Практический курс «Протоколы при дисфункции ВНЧС», Евгения Волошина, Георгий Князев
2025 г.
«Элайнеры FLEXILIGNER», г. Екатеринбург, Галина Мочалова
Профессиональные навыки
Диагностика и комплексное лечение дисфункции сустава (ВНЧС)
Командная работа с стоматологом-ортопедом и хирургом для ортодонтической подготовки к протезированию пациентов с комплексными планами
Лечение выраженных скелетных нарушений прикуса совместно с челюстно-лицевым хирургом
Ортодонтическое лечение на элайнерах
Лечение детей, в том числе миофункциональное лечение
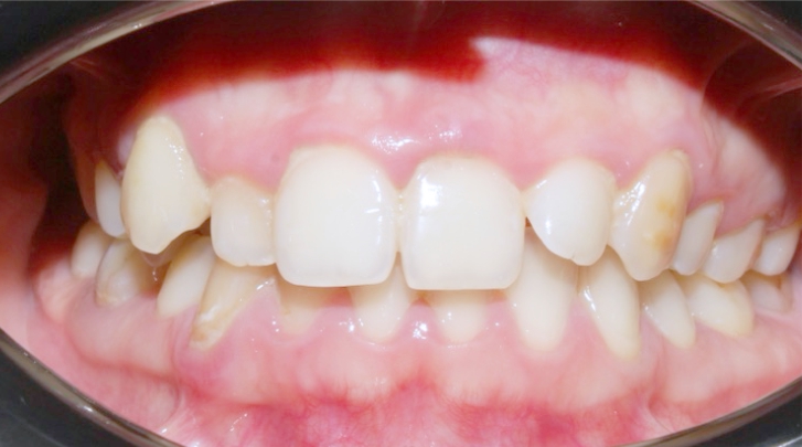
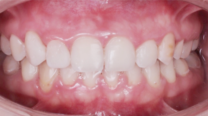
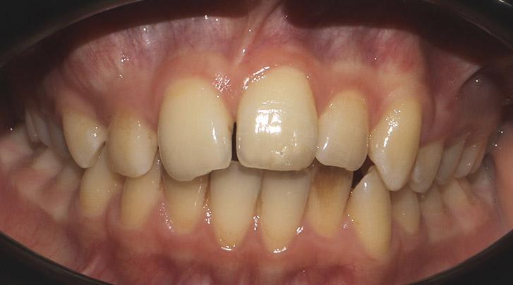
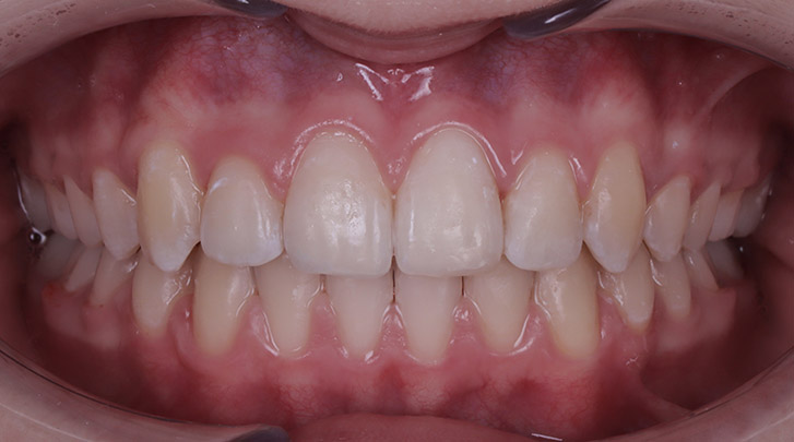
Лечение сложных ортодонтических патологий у детей и взрослых пациентов






