Ковалева Жанна Алексеевна
Ковалева Жанна Алексеевна
врач-ортодонт
9 лет стажа
Специализации
Подготовка к ортогнатии
Ортодонтия для подростков
Миофункциональный подход
Принимаемые пациенты
Взрослые
Дети
Подростки
Моё знакомство с ортодонтией началось ещё в детстве с ношения пластинки. Затем в подростковом возрасте мне установили брекеты. Конечно, я немного смущалась, когда их носила, но после снятия брекетов, я ни разу не пожалела, что прошла это лечение. И тогда я решила для себя, что буду учиться на ортодонта, так меня вдохновил мой врач. За эти годы ортодонтия шагнула вперёд, и у врача появились новые инструменты и возможности, чтобы дарить пациентам красивые здоровые улыбки!
Образование
Квалификация:
врач-ортодонт
Сертификат до:
27.08.2029
2012-2017 г.
Обучение в Новосибирском Государственном Медицинском Университете, стоматологический факультет
2017-2019 г.
Клиническая ординатура при Новосибирском Государственном Медицинском Университете по специальности «Ортодонтия»
Обучение новым технологиям
2017 г.
Семинар «Практическое применение метода КЛКТ для диагностики заболеваний височно-нижнечелюстного сустава»
2017 г.
Семинар «Damon - биомеханика, трюки Damon, выбор торка + расчет торка»
2018 г.
Лекционный курс «Миофункциональный подход к лечению нарушений прикуса и аномалий челюстно-лицевого развития по системе Myobrace»
2018 г.
Семинар «Коррекция аномалий окклюзии в вертикальной плоскости у взрослых техникой Straight-wire»
2018 г.
Семинар «Эvolution: 8 колючей эстетической и функциональной ортодонтии»
2018 г.
Семинар «Рост лица. Скелетные и зубоальвеолярные формы аномалий. Дифференциальная диагностика. Особенности лечения зубочелюстных аномалий в различные возрастные периоды»
2018 г.
Семинар «Ретинированные клыки. Провокаторы ретенции. Лечение патологии второго класса. Взгляд снаружи и изнутри»
2018 г.
Типодонт-курс «Общие принципы применения несъёмной ортодонтической техники. Этапы лечения»
2018 г.
Типодонт-курс «Кортикальная опора в современной ортодонтической практике»
2018 г.
Лекционный курс «Миофункциональный подход к лечению нарушений прикуса и аномалий челюстно-лицевого развития по системе Myobrace»
2018 г.
Семинар «Коррекция аномалий окклюзии в вертикальной плоскости у взрослых техникой Straight-wire»
2018 г.
Семинар «Эvolution: 8 колючей эстетической и функциональной ортодонтии»
2018 г.
Семинар «Ретинированные клыки. Провокаторы ретенции. Лечение патологии второго класса. Взгляд снаружи и изнутри»
2020 г.
Курс «Первичная консультация-PRO»
2022 г.
"Аспекты работы врача ортодонта при подготовке к ЧЛХ", Дудкин В. С.
2022 г.
«Миофункциональный подход в лечении пациентов» , Валентина Геча
2023 г.
«Предсказуемая и эффективная ортодонтия у самых маленьких пациентов», Попов С.А.
2023 г.
«Логичная ортодонтия», Окунева Т.Ю.
2023 г.
«Железная логика. Сохранять или удалять. Алгоритм принятия решения», Кулаев Ю.Т.
2024 г.
«Игра вслепую?! ВНЧС. МРТ.» г. Новосибирск, Евгения Волошина
2024 г.
«Врач-ортодонт-Врач!», г. Новосибирск, Старикова Н. В.
2024 г.
«Участник III Сибирского ортодонтического конгресса Ортопорт», г. Новосибирск, Дентмастер
Профессиональные навыки
Диагностика и комплексное лечение
Миофункциональный подход в лечении подростков
Ортодонтическая подготовка к ортогнатической хирургии
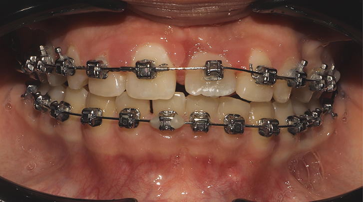
Ортодонтическое лечение на брекет-системе
Подготовка к протезированию
Консервативное лечение пациентов с дисфункцией ВНЧС
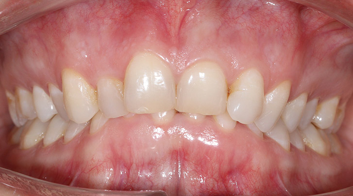
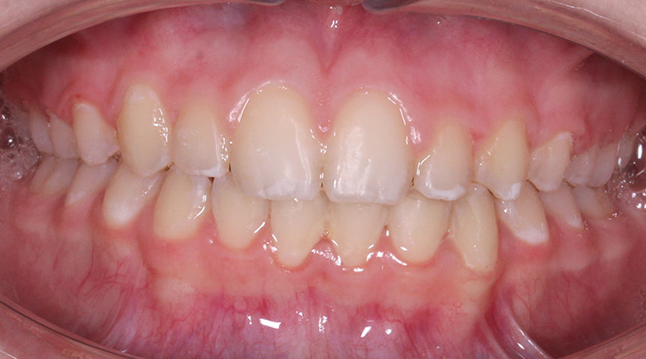
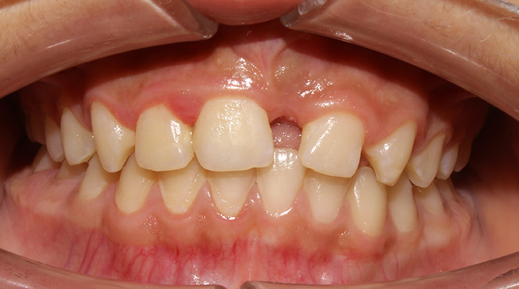
Улыбки пациентов
Стоимость услуг врача в ЦО Улыбнись!
КОНСУЛЬТАЦИЯ ОРТОДОНТА
Консультация врача-ортодонта первичная для детей, подростков, взрослых
от 900 руб.
Консультация врача-ортодонта повторная на этапе лечения
бесплатно
Консультация врача-ортодонта повторная (при лечении на съемном аппарате)
от 1 000 руб.
ДИАГНОСТИКА
Полная диагностика до ортодонтического лечения
от 8 500 руб.
Стоимость включает:
- cнятие альгинатного оттиска с челюстей, сканирование, определение прикуса, изготовление контрольной модели при ортодонтическом лечении, антропометрические исследования, анализ ТРГ, фотографирование, составление плана лечения.
Функциональная диагностика с использованием артикулятора
от 18 000 руб.
Стоимость включает:
- определение вида смыкания зубных рядов с помощью лицевой дуги, снятие альгинатного оттиска с одной челюсти, сканирование, определение прикуса, изготовление контрольной модели при ортодонтическом лечении, антропометрические исследования, гипсовка в артукулятор, фотографирование.
Миостимуляционная терапия ТЕНС (1 процедура)
от 14 000 руб.
Расчет телеренгенограммы
от 4 200 руб.
ЛЕЧЕНИЕ С ИСПОЛЬЗОВАНИЕМ БРЕКЕТОВ
Лечение с использованием брекетов металлических Mini Diamond, Biomim
от 129 000 руб.
Стоимость включает:
- брекеты Mini Diamond, Biomim на одну челюсть, их фиксация, ежемесячные посещения по активации аппаратуры, снятие брекетов, ретенционные (удерживающие) аппараты.
Система оплаты:
100 000 рублей – первоначальный взнос. Оставшаяся сумма разбивается на равные ежемесячные взносы, относительно составленной сметы на исправление прикуса металлическими брекетами на 18 месяцев (ежемесячный взнос в среднем 11 100 рублей).
Лечение с использованием брекетов самолигирующих Damon Q, H4, Pitts21
от 147 000 руб.
Стоимость включает:
- брекеты Damon Q, H4, Pitts21 на одну челюсть, установка брекетов, ежемесячные посещения по активации аппаратуры, снятие брекетов, ретенционные (удерживающие) аппараты.
Система оплаты:
100 000 рублей – первоначальный взнос. Оставшаяся сумма разбивается на равные ежемесячные взносы, относительно составленной сметы выравнивания зубов брекетами на 18 месяцев (ежемесячный взнос в среднем 11 100 рублей).
Лечение с использованием керамических брекетов самолигирующих Damon Clear
от 189 000 руб.
Стоимость включает:
- брекеты Damon Clear на нижнюю или верхнюю челюсть, установка брекетов, ежемесячные посещения по активации аппаратуры, снятие брекетов, ретенционные (удерживающие) аппараты.
Система оплаты:
120 000 рублей – первоначальный взнос. Оставшаяся стоимость установки брекетов разбивается на равные ежемесячные взносы, относительно составленной сметы на лечение на 18 месяцев (ежемесячный взнос в среднем 10 000 рублей).
ЛЕЧЕНИЕ С ИСПОЛЬЗОВАНИЕМ СЪЕМНЫХ ПРОЗРАЧНЫХ КАП
С применением элайнеров "FlexLigner" на 1 челюсти
от 266 000 руб.
Стоимость включает:
- виртуальный сетап, капы на весь период лечения, удерживающие аппараты после окончания лечения.
С применением элайнеров "Dental Align", цена за одно изделие
от 8 500 руб.
Стоимость включает:
- Цена за одно изделие - элайнеры для выравнивания зубов "Dental Align". Стоимость всего лечения на элайнерах зависит от индивидуальных параметров и количества кап, которое будет необходимо применить.
МИОФУНКЦИОНАЛЬНАЯ КОРРЕКЦИЯ
Диагностика первичная при миофункциональном лечении
от 9 000 руб.
Стоимость включает:
- Антропометрические исследования, снятие альгинатного оттиска с одной челюсти, изготовление контрольной модели, составление плана лечения
Миофункциональное ортодонтическое лечение
от 101 400 руб.






